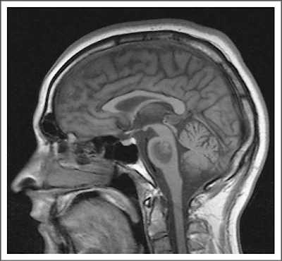
Cual es el diagnóstico? Mielinolisis central pontina.
La RMN revela mielinolisis central pontina, con una lesión
bien definida en la protuberancia de baja intensidad de señal en T-1, con indemnidad de los tractos ventro lateral y cortical; no hay efecto de masa ocupante de espacio ni distorsión del cuarto ventrículo adyacente. La mielinolisis central pontina es una condición desmielinizante no inflamatoria, de la sustancia blanca central, originalmente descripta en pacientes con alcoholismo crónico. Actualmente se ve más en cuadros asociados a corrección rápida de estados de hiponatremia con soluciones hiperosmolares
NEJM Image Challenge
“The New England Journal of Medicine”
Mielinolisis central pontina.
Adams y col describieron la mielinolisis central pontina (MCP) como una entidad única. Ellos publicaron su hallazgo en 1958, observando que pacientes que sufrían de alcoholismo o malnutrición, desarrollaban cuadriplejía espástica, parálisis seudobulbar, y variado grado de encefalopatía o coma, por una desmielinización no inflamatoria centrada en la protuberancia.Actualmente se reconoce a la MCP como secundaria a hiponatremia prolongada, particularmente si se corrige demasiado rápidamente. Por lo tanto, se requiere un juicioso tratamiento de los disturbios electrolíticos para reducir la incidencia de MCP.
Fisiopatología
La MCP es una desmielinización no inflamatoria frecuentemente simétrica, generalmente localizada en la base de la protuberancia, aunque en al menos 10% de los pacientes puede tener localizaciones extrapontinas como mesencéfalo, tálamo, núcleos de la base y cerebelo. El mecanismo exacto de la desmielinización es desconocido. La hiponatremia crónica está asociada con pérdida de osmolitos para proteger al cerebro del edema cerebral. Sin embargo, los osmolitos no pueden ser rápidamente reemplazados cuando el cerebro se "encoge" en respuesta a la elevación de la concentración plasmática de sodio. Como resultado de ello, el volumen cerebral cae desde un valor por encima de lo normal hasta un volumen por debajo de lo normal como consecuencia de la corrección rápida de la hiponatremia.
Estudios realizados en ratas mostraron que la desmielinización primaria ocurre en áreas del cerebro que son más lentas en reacumular osmolitos después de la corrección rápida de la hiponatremia.
Un posible mecanismo es que el “encogimiento” osmótico de las células endoteliales, abre la barrera hemato encefálica, permitiendo la entrada de complemento y de otros componentes citotóxicos plasmáticos al sistema nervioso central. Alternativamente, un aumento inicial de la concentración de cationes celulares debido a la entrada de sodio y potasio a las células durante la recuperación, puede injuriar directamente las células cerebrales causando apoptosis.

Clínica
Un caso típico se presenta como sigue:
1) Se diagnostica hiponatremia en una persona que se presenta al departamento de emergencias con delirio.
2) Se comienza tratamiento con líquidos intravenosos y el sodio sérico se normaliza durante las primeras 24 hs de tratamiento.
3) El estado mental del paciente mejora, y se recupera el estado de alerta. Sin embargo, esto es seguido por deterioro neurológico después de 48 a 72 hs.
4) En el examen neurológico se constata confusión, parálisis de la mirada horizontal y cuadriplejía espástica.
5) La RMN revela intensa desmielinización simétrica en la base de la protuberancia
Examen físico
1) El hallazgo mas específico de MCP es la parálisis seudobulbar y la cuadriplejía espástica causada por desmielinización del haz corticoespinal y corticobulbar en su paso por la protuberancia. La parálisis seudobulbar se caracteriza por debilidad de cabeza y cuello, disfagia y disartia. La cuadriplejía espástica se caracteriza por aumento del tono asociado a pérdida de fuerzas de los cuatro miembros. Hay reflejos hiperactivos y Babinski bilateral. Hay parálisis de la mirada horizontal. La parálisis de la mirada vertical es secundaria a desmielinización extendida a mesencéfalo. El coma o el delirio son el resultado de la desmielinización del tegmento pontino y/o tálamo. Una lesión amplia de la base de la protuberancia puede causar el llamado “síndrome del cautiverio” (“locked-in síndrome”) que incluye parálisis de los pares craneales y de los cuatro miembros, conservando el parpadeo, los movimientos verticales, la respiración y la vigilia en estado de alerta.
2) El delirio y el coma son comunes.
Causas:
Las condiciones predisponentes a MCP incluyen alcoholismo, enfermedad hepática, malnutrición e hiponatremia.
Los factores de riesgo para MCP en pacientes hiponatrémicos incluyen:
· Sodio sérico de menos de 120 meq/l por más de 48 hs.
· Agresiva terapia con soluciones hipertónicas..
· Desarrollo de hipernatremia durante el tratamiento.
Muchos pacientes con severa hiponatremia que se corrige rápidamente no desarrollan MCP. Por lo tanto debe haber otros factores desconocidos.
Los pacientes con un episodio agudo de hiponatremia que se corrige antes de 24 hs no tienen riesgo de desarrollar MCP.
Algunos pacientes presentan MCP después de corregir hipernatremias agudas.
La MCP a veces complica a la cirugía de transplante hepático.
Los pacientes quemados con prolongados períodos de hiperosmolaridad están predispuestos a MCP.
Laboratorio: >
· El análisis del líquido cefalorraquídeo probablemente no sea necesario cuando la etiología y el diagnóstico son obvios.
· Los estudios de LCR pueden demostrar aumento de la presión de apertura, proteínas elevadas, o pleocitosis mononuclear.
Imágenes:La RMN o la TAC de tronco cerebral pueden no revelar una alteración anatómica obvia, por lo menos en tempranamente. Por lo tanto, el examen neurológico es indispensable.
La RMN es la modalidad de elección. Típicamente en T2 las lesiones son hiperintensas o brillantes en las zonas donde ocurrió desmielinización con aumento de contenido de agua.
Otros tests:
El EEG puede mostrar un enlentecimiento bihemisférico.
Los potenciales evocados del tronco cerebral pueden revelar anormalidades que las neuroimágenes no muestran.
Hallazgos histológicos:
Hay una relativa preservación de los axones y las neuronas que los rodean dentro de las áreas de desmielinización y una reducción asociada de la oligodendroglia.
Tratamiento:
El tratamiento es solo de sostén.
Corregir la hiponatremia a una tasa de 10 umol/L/24 hs; evitar la hipernatremia.
Los pacientes alcohólicos deben recibir suplementos de vitaminas y evaluación del estado nutricional.
Referencias bibliográficas:
1) Adams RD, Victor M, Mancall EL. Central pontine myelinolysis: a undescribed disease occurring in alcoholic and malnourished patients. AMA Arch Neurol Psychiatry. Feb 1959;81(2):154-72. [Medline]hitherto .
2) DeWitt LD, Buonanno FS, Kistler JP, et al. Central pontine myelinolysis: demonstration by nuclear magnetic resonance. Neurology. May 1984;34(5):570-6. [Medline].
3) Haspolat S, Duman O, Senol U, Yegin O. Extrapontine myelinolysis in infancy: report of a case. J Child Neurol. Nov 2004;19(11):913-5. [Medline].
4) Karp BI, Laureno R. Pontine and extrapontine myelinolysis: a neurologic disorder following rapid correction of hyponatremia. Medicine (Baltimore). Nov 1993;72(6):359-73. [Medline].
5) Laureno R, Karp BI. Myelinolysis after correction of hyponatremia. Ann Intern
Med. Jan 1 1997;126(1):57-62
6) Martin RJ. Central pontine and extrapontine myelinolysis: the osmotic demyelination syndromes. J Neurol Neurosurg Psychiatry. Sep 2004;75 Suppl 3:iii22-8. [Medline].
7) Singh N, Yu VL, Gayowski T. Central nervous system lesions in adult liver transplant recipients: clinical review with implications for management. Medicine (Baltimore). Mar 1994;73(2):110-8. [Medline].
bien definida en la protuberancia de baja intensidad de señal en T-1, con indemnidad de los tractos ventro lateral y cortical; no hay efecto de masa ocupante de espacio ni distorsión del cuarto ventrículo adyacente. La mielinolisis central pontina es una condición desmielinizante no inflamatoria, de la sustancia blanca central, originalmente descripta en pacientes con alcoholismo crónico. Actualmente se ve más en cuadros asociados a corrección rápida de estados de hiponatremia con soluciones hiperosmolaresNEJM Image Challenge
“The New England Journal of Medicine”
Mielinolisis central pontina.
Adams y col describieron la mielinolisis central pontina (MCP) como una entidad única. Ellos publicaron su hallazgo en 1958, observando que pacientes que sufrían de alcoholismo o malnutrición, desarrollaban cuadriplejía espástica, parálisis seudobulbar, y variado grado de encefalopatía o coma, por una desmielinización no inflamatoria centrada en la protuberancia.Actualmente se reconoce a la MCP como secundaria a hiponatremia prolongada, particularmente si se corrige demasiado rápidamente. Por lo tanto, se requiere un juicioso tratamiento de los disturbios electrolíticos para reducir la incidencia de MCP.
Fisiopatología
La MCP es una desmielinización no inflamatoria frecuentemente simétrica, generalmente localizada en la base de la protuberancia, aunque en al menos 10% de los pacientes puede tener localizaciones extrapontinas como mesencéfalo, tálamo, núcleos de la base y cerebelo. El mecanismo exacto de la desmielinización es desconocido. La hiponatremia crónica está asociada con pérdida de osmolitos para proteger al cerebro del edema cerebral. Sin embargo, los osmolitos no pueden ser rápidamente reemplazados cuando el cerebro se "encoge" en respuesta a la elevación de la concentración plasmática de sodio. Como resultado de ello, el volumen cerebral cae desde un valor por encima de lo normal hasta un volumen por debajo de lo normal como consecuencia de la corrección rápida de la hiponatremia.
Estudios realizados en ratas mostraron que la desmielinización primaria ocurre en áreas del cerebro que son más lentas en reacumular osmolitos después de la corrección rápida de la hiponatremia.
Un posible mecanismo es que el “encogimiento” osmótico de las células endoteliales, abre la barrera hemato encefálica, permitiendo la entrada de complemento y de otros componentes citotóxicos plasmáticos al sistema nervioso central. Alternativamente, un aumento inicial de la concentración de cationes celulares debido a la entrada de sodio y potasio a las células durante la recuperación, puede injuriar directamente las células cerebrales causando apoptosis.

Clínica
Un caso típico se presenta como sigue:
1) Se diagnostica hiponatremia en una persona que se presenta al departamento de emergencias con delirio.
2) Se comienza tratamiento con líquidos intravenosos y el sodio sérico se normaliza durante las primeras 24 hs de tratamiento.
3) El estado mental del paciente mejora, y se recupera el estado de alerta. Sin embargo, esto es seguido por deterioro neurológico después de 48 a 72 hs.
4) En el examen neurológico se constata confusión, parálisis de la mirada horizontal y cuadriplejía espástica.
5) La RMN revela intensa desmielinización simétrica en la base de la protuberancia
Examen físico
1) El hallazgo mas específico de MCP es la parálisis seudobulbar y la cuadriplejía espástica causada por desmielinización del haz corticoespinal y corticobulbar en su paso por la protuberancia. La parálisis seudobulbar se caracteriza por debilidad de cabeza y cuello, disfagia y disartia. La cuadriplejía espástica se caracteriza por aumento del tono asociado a pérdida de fuerzas de los cuatro miembros. Hay reflejos hiperactivos y Babinski bilateral. Hay parálisis de la mirada horizontal. La parálisis de la mirada vertical es secundaria a desmielinización extendida a mesencéfalo. El coma o el delirio son el resultado de la desmielinización del tegmento pontino y/o tálamo. Una lesión amplia de la base de la protuberancia puede causar el llamado “síndrome del cautiverio” (“locked-in síndrome”) que incluye parálisis de los pares craneales y de los cuatro miembros, conservando el parpadeo, los movimientos verticales, la respiración y la vigilia en estado de alerta.
2) El delirio y el coma son comunes.
Causas:
Las condiciones predisponentes a MCP incluyen alcoholismo, enfermedad hepática, malnutrición e hiponatremia.
Los factores de riesgo para MCP en pacientes hiponatrémicos incluyen:
· Sodio sérico de menos de 120 meq/l por más de 48 hs.
· Agresiva terapia con soluciones hipertónicas..
· Desarrollo de hipernatremia durante el tratamiento.
Muchos pacientes con severa hiponatremia que se corrige rápidamente no desarrollan MCP. Por lo tanto debe haber otros factores desconocidos.
Los pacientes con un episodio agudo de hiponatremia que se corrige antes de 24 hs no tienen riesgo de desarrollar MCP.
Algunos pacientes presentan MCP después de corregir hipernatremias agudas.
La MCP a veces complica a la cirugía de transplante hepático.
Los pacientes quemados con prolongados períodos de hiperosmolaridad están predispuestos a MCP.
Laboratorio: >
· El análisis del líquido cefalorraquídeo probablemente no sea necesario cuando la etiología y el diagnóstico son obvios.
· Los estudios de LCR pueden demostrar aumento de la presión de apertura, proteínas elevadas, o pleocitosis mononuclear.
Imágenes:La RMN o la TAC de tronco cerebral pueden no revelar una alteración anatómica obvia, por lo menos en tempranamente. Por lo tanto, el examen neurológico es indispensable.
La RMN es la modalidad de elección. Típicamente en T2 las lesiones son hiperintensas o brillantes en las zonas donde ocurrió desmielinización con aumento de contenido de agua.
Otros tests:
El EEG puede mostrar un enlentecimiento bihemisférico.
Los potenciales evocados del tronco cerebral pueden revelar anormalidades que las neuroimágenes no muestran.
Hallazgos histológicos:
Hay una relativa preservación de los axones y las neuronas que los rodean dentro de las áreas de desmielinización y una reducción asociada de la oligodendroglia.
Tratamiento:
El tratamiento es solo de sostén.
Corregir la hiponatremia a una tasa de 10 umol/L/24 hs; evitar la hipernatremia.
Los pacientes alcohólicos deben recibir suplementos de vitaminas y evaluación del estado nutricional.
Referencias bibliográficas:
1) Adams RD, Victor M, Mancall EL. Central pontine myelinolysis: a undescribed disease occurring in alcoholic and malnourished patients. AMA Arch Neurol Psychiatry. Feb 1959;81(2):154-72. [Medline]hitherto .
2) DeWitt LD, Buonanno FS, Kistler JP, et al. Central pontine myelinolysis: demonstration by nuclear magnetic resonance. Neurology. May 1984;34(5):570-6. [Medline].
3) Haspolat S, Duman O, Senol U, Yegin O. Extrapontine myelinolysis in infancy: report of a case. J Child Neurol. Nov 2004;19(11):913-5. [Medline].
4) Karp BI, Laureno R. Pontine and extrapontine myelinolysis: a neurologic disorder following rapid correction of hyponatremia. Medicine (Baltimore). Nov 1993;72(6):359-73. [Medline].
5) Laureno R, Karp BI. Myelinolysis after correction of hyponatremia. Ann Intern
Med. Jan 1 1997;126(1):57-62
6) Martin RJ. Central pontine and extrapontine myelinolysis: the osmotic demyelination syndromes. J Neurol Neurosurg Psychiatry. Sep 2004;75 Suppl 3:iii22-8. [Medline].
7) Singh N, Yu VL, Gayowski T. Central nervous system lesions in adult liver transplant recipients: clinical review with implications for management. Medicine (Baltimore). Mar 1994;73(2):110-8. [Medline].
No hay comentarios:
Publicar un comentario